October 31, 2025
Filing a cerebral palsy malpractice claim requires adequate documentation and the right legal support. Here’s a brief look at what you can expect.
October 20, 2025
Experiencing sudden changes at work after filing a complaint? Know the subtle signs of illegal workplace retaliation and understand how to protect your rights.
October 20, 2025
Learn about how hospital negligence can lead to sepsis, the warning signs to watch for, and the legal options available when medical errors cause harm.
October 16, 2025
If you are injured by a problematic product, you deserve to be compensated for medical bills and emotional tolls. How is that compensation calculated?
October 14, 2025
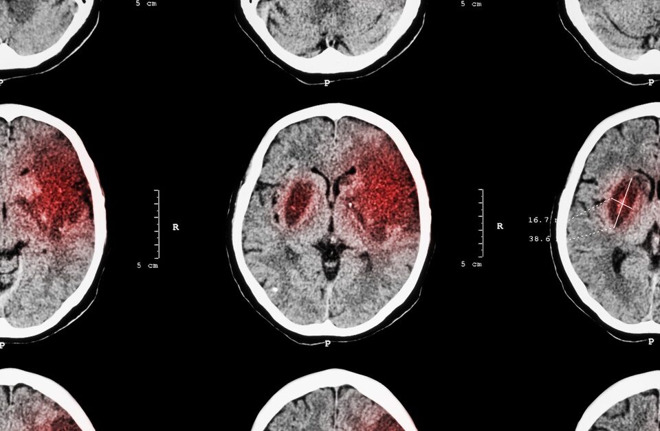
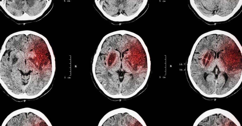
Tissue plasminogen activator, also known as tPA, is a medication commonly given to people who have suffered strokes. What are the risks of this approach?
October 13, 2025
Nobody plans for life to take a painful turn, but accidents happen, and their aftermath can feel overwhelming. Medical bills start piling up, work days are […]
October 13, 2025
After an accident, you may deal with flashbacks, nightmares, or heightened senses. These could be symptoms of post-traumatic stress disorder (PTSD).
October 13, 2025
Venturing out into the world, no matter where you’re going, carries some risk with it. How can you advocate for yourself if you’re hurt on someone’s property?









